英保歯科の特徴的な技術を生かした虫歯の治療法に「3Di ダイレクト」というオリジナルメニューがあります。基本的には神経を取っていない歯が対象です。
①3D ビデオ顕微鏡(Mora Vision) や5倍拡大のルーペを使用する。
②ラバーダムやZOOなどの防湿装置を使用する。
③神経が残せそうに無い歯(熱い物がしみたりして、他の歯科医師が神経を取る事を強く勧めた歯)でも i Mix を使用して神経を取らないよう最大限の努力をする。
④保険診療では使用できない、ハイグレードのダイレクトコンポジットを使用して自然な美しい歯として修復する。
これらを確約して治療を行う「3Di ダイレクト」は長い目で見た時には患者さんの時間的、経済的、機能的、心理的負担が軽減される「お得な」治療方法です。
費用は1本2万5000円+消費税となっております。「3Di ダイレクト」で治療ができるかどうかは、まず英保歯科で診断を受けて頂く必要があります。
虫歯の部分が大きいと「3Di CAD/CAM」の適応となります。
月別アーカイブ: 2015年7月
フッ化物はいつまで使うか
フッ化物はその種類や摂取の仕方を変えながら、基本的には一生使う方が良いでしょう。
4歳、あるいは遅くとも6歳くらいから何らかの形でフッ化物の使用を開始します。虫歯になってからではなく、完璧に予防してしまうために何ともなくても使うようにしましょう。
小学校低学年の間は親が食生活の管理をしてあげる事ができますが、高学年で塾に通うようになって、塾の帰りにコンビニで毎晩缶コーヒーなどを買うような事態になったら要注意です。反抗期にもなってきて、なかなか親のいう事を素直に聞いてくれませんが、とにかく、はみがき粉でも何でも良いのでフッ化物の応用を続けます。
成人してむし歯リスクの安定期に入っても、はみがき粉などで継続してフッ化物の摂取を続けた方が良いでしょう。成人した後は歯周病のリスクが強くなってきます。お母様の努力のおかげで、虫歯で苦労した経験の無い子供は大きくなってから、どうしてもブラッシングがおろそかになって歯周病になってしまいがちです。
老人になって歯周病が進行して、歯の根っこの方が歯ぐきより上に見えてきてしまうと、そこが非常に虫歯になりやすくなります。治療が不可能な部位であることも多く、まさに「歯医者泣かせ」な状況となります。
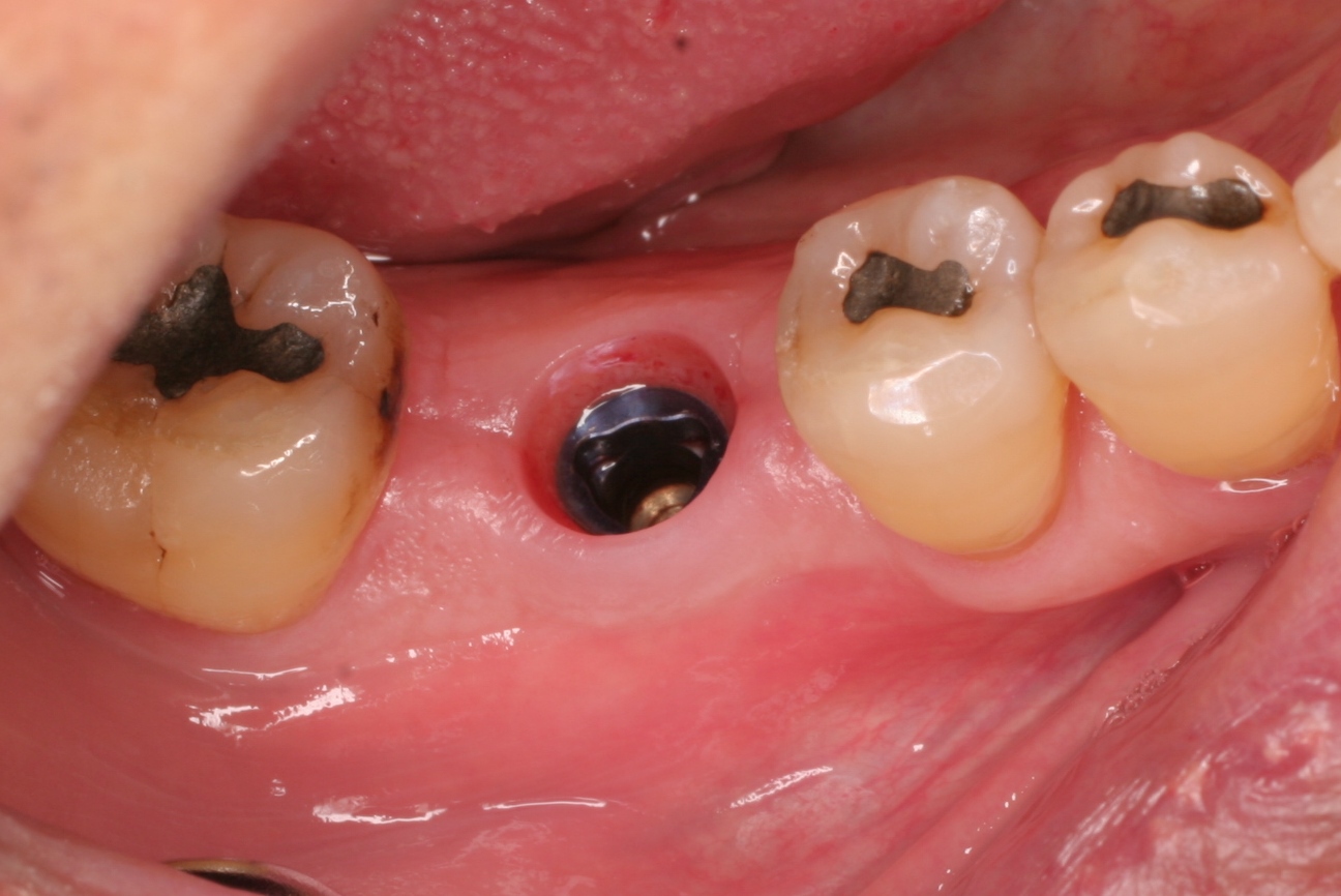
インプラントって?
皆さんはインプラント治療にどのようなイメージををお持ちでしょうか。最先端の素晴らしい治療だという感じ?それとも悪い噂を耳にしたりされますでしょうか?インプラントは「正しく使えば」素晴らしい治療方法です。正しく使いさえすれば。
上の写真のような治療方法ですので、インプラントが健康で充分な量のある骨の中に埋入された時には長期的に安定して機能します。しっかりした幅や厚みのある杉やヒノキの板にねじ込んだネジ釘はしっかりしますが、ペラペラのバルサや合板に入れたネジ釘は無理な力をかけたらすぐに抜けちゃいそうですよね。
骨が無いときには骨造成という追加の手術が必要です。費用も追加で必要になります。危険性が高い時にはブリッジでインプラントを回避する方が良い事も多々あります。
その辺の診断がきっちりできるか否かがドクターの知識であり、治療計画の通りに事を運べるかどうかがドクターの技量です。
また、歯周病菌の感染がある(つまり歯周病がある)お口の中にインプラントをしても、インプラントの周囲に歯周病菌が感染してすぐにダメになってしまいます。
宝くじが当たってお金ができたから、インプラントをしてもらおう!と思っても、歯周病の治療と管理ができていない患者さんはインプラントが長持ちしません。お金を捨てるのと同様になってしまいもったいないですね。同様に、タバコを吸われる方もインプラントが長持ちしない事が多いです。最近、英保歯科では禁煙ができにくい患者さんのインプラントはお断りすることがほとんどです。
フッ化物の取り方
むし歯予防にフッ化物を応用する方法はいくつかあります。
一つは歯科医院で歯科衛生士さんの治療を受けた直後、3-4か月毎に、定期的に高濃度のフッ化物を塗布してもらう方法が一つ。ツルツルピカピカになったばかりの歯の表面にプロユースのフッ化物を塗ってむらうのはいかにも効きそうですね。
もう一つは家庭でコツコツと毎日低濃度のフッ化物を塗布する方法。歯科医院で塗ってもらうフッ化物の10分の1から30分の1の濃度を毎日使用します。継続は力なりという言葉がありますが、この習慣は、少なくとも永久歯が生えてきた6歳からは開始するべきだと考えています。できれば永久歯は虫歯にしたくないからです。
レノビーゴ:スプレータイプ。ある大学の教授が開発した低濃度のフッ素。安全性が優先されており、4歳頃からでもあるいは乳歯が生えたばかりでも使いやすい万能選手です。
ミラノ―ル:自分でパウダーと水を専用容器で溶かして作ります。アクエリアスの粉タイプのような感じで作るだけで簡単です。人工甘味料が入っていないので、不自然な味が嫌いな子供にはピッタリです。オラブリスという名前のほぼ同じような商品もあります。
ホームジェル:しっかりと歯の表面にとどまるジェルタイプで、グレープやストロベリー、ミントなどのフレーバーが(一応そういう名前はついている)あります。ハイリスクのお子様には良いと思います。子供に使わせる前に、親が一度味見をしてあげてみて下さい。悪くはないけど・・・良くもないかな。
ハミガキ粉:歯磨き粉を買う時には裏を見て何が入っているかチェックしてみて下さい。(驚くほど色々入っていて使うのをやめようかななんて思うかもしえません。)ほぼすべての商品にフッ素とかフッ化物と書いてあると思います。フッ素の摂取を意識せず使いたい方はこれが超簡単ですね。効果はありますが、歯磨き粉と他フッ化物サプリメントとの違いは、何回もうがいをしてしまい、残留濃度が薄くなることが多い点です。
他にも機能をアップさせた新商品が沢山出てきています。後発は先発商品の欠点を改良してきますので良いと思いますが、例えば機能をアップさせるために牛乳の成分であるカゼインを配合したため、牛乳に対する強いアレルギーがある子供で問題が起こってしまったとの報告があります。昔から使われているものには歴史という安心感があります。
6歳臼歯が生えたら
6歳臼歯が生える頃まで虫歯ゼロを成功させたお母さんはその努力に充分価値があると自慢して良いでしょう。とても素晴らしい事です。
虫歯が無いというだけでなく、嗜好が形成される時期に砂糖の味を刷り込んでいないので、一生極端な砂糖好きになる事は少ないでしょう。これは肥満、糖尿病、そしてもちろん虫歯で将来苦しむリスクを激減させている事になります。
砂糖の害について興味深い体験があるようです。

生えたての歯はまだ全く熟成されていないので(簡単に言うとカチカチになっていないので)虫歯菌の産生する酸に侵されやすい状況です。6年間むし歯ゼロでやってきて油断する頃に、また柔らかい永久歯が生えてくるので、再度気を引き締めないといけません。(上の写真を見て下さい。入り口は小さい虫歯に見えたのですが、中で大きく広がっていました。お母様の悲しみは想像を超えたものでした。)
フッ化物は歯のエナメル質をハイドロキシアパタイトからフルオロアパタイトという別の構造に変えてくれます。この構造は虫歯菌の作る酸に対してめちゃくちゃ強いので、簡単には虫歯にならなくなります。
子供の虫歯が凄いペースで減少しはじめたのは、お店に並んでいるハミガキ粉(古い表現ですね。ブラッシングペーストとでも呼びましょうか。)にフッ化物が配合されはじめた時と一致します。皆さんはハミガキ粉を使っている時に知らないうちにフッ化物を歯に塗っているのですよ。
6歳からは食生活の習慣が幼いころと同様に守られている子は、レノビーゴを続けてもよいでしょうし、ハミガキ粉を使うだけでもよいかも知れません。
砂糖を頻繁に口にしてリスクが高くなってしまった子供には、もっと違った形のフッ化物を応用した方がよいでしょうね。
フッ素の安全性とメリット・デメリット
一般の方は歯科で使われるフッ化物(NaF)と工場などで使われるフッ化水素(HF)を混同して、you tube などでは狂気とも言えるような意見がアップロードされています。まさに無知から来る誤解と言えるでしょう。
もちろんフッ化物を使用する際に、科学的に証明されていない何かが起こる可能性は否定できませんが、では携帯電話の電磁波や食品の残留農薬などはどうなのでしょう?大騒ぎしようと思えばいくらでもできる事です。
私の考えとしては、4歳くらいまでは精製白砂糖を中心とする砂糖類を制限する事によって歯と心と体を守ってやるのが良いと思います。それができない環境の子供は4歳以下でも積極的にフッ化物を使うようにします。
4歳を超えて親の管理下に置けなくなる時間が増えたら、この頃には体も赤ちゃんの頃に比べたら色々なものに耐性ができてきていますのでレノビーゴなどの子供でも安全なフッ化物の使用を開始します。毎晩夜寝る前にシュッとスプレーします。
6歳の頃からは、いよいよ6歳臼歯という永久歯が生えてきますので、予防のレベルをアップしていかなくてはなりません。
フッ化物(いわゆるフッ素)について
皆さんは歯にフッ素が良いという話を聞いた事があるでしょう?これは事実です。
私(1962年生まれ)が子供の頃は、子供を2-3人産むのが当たり前で、まだまだ戦後から立ち直りつつある空気が社会にあり、戦争体験者もたくさんいらっしゃましたので、子供に対しては「食べ物があって、命があって生きているだけで充分」といった考え方が根底にありました。今の、少子化で一人一人の子供を「完璧な人間に」育てようと親や社会が考える時代とはかけ離れていたように思います。
私が子供の頃は「虫歯があって当たり前」。今は「虫歯が無くて当たり前」なのです。
実際に、私が校医を務める保育園・小・中・高等学校に健診にいくと、虫歯が激減しているのがわかります。ウッデイタウンは特に素晴らしく、ある小学6年生3クラスのうち虫歯があった子が2人という経験も持っています。
この何十年かで子供たちがとても丁寧にハミガキをするように変わったのかというと、答えは Yes and No です。
その一つの鍵がフッ化物(いわいるフッ素)にあるのです。
子供に甘いものを与えるのは厳禁か?
2回ほどショッキングな話を書きましたので、多少ネガティブな雰囲気になってしまったのではと心配しています。私は前向きな人間なのですが。
さて、砂糖がとても依存性が高く、特に小さいうちにその味を覚えてしまうと一生離れる事ができないと言われています。肥満や糖尿病の原因にもなりますので、お酒やタバコと同様に、健康に害のない程度で楽しめるようにしてあげたいものです。
私には4人の子供がいますが、歯の予防には歯科医師である妻と協力して人一倍気をつかっています。歯に良い食生活習慣は体にも精神にも良い方向に働くものだからです。
具体的には4歳までは精製白砂糖の入った物は一切与えませんでした。それは厳密に守りました。これはし好を形成する上で非常に意味がある事だったと思います。
4歳になって幼稚園に行く頃からは、幼稚園で出される食事やおやつに精製白砂糖が含まれるので、基準を緩めるようにしますが、昔から言われるように「おやつは1日1回時間を決めて」というスタンスを守ります。それからレノビーゴ(ドラッグストアでも売っている子供用の安全なフッ化物)を夜寝る前に使用するようにします。
フッ化物についてはそのうちお話をしたいと思っています。
子供を虫歯から守ってあげる事の意義
前回、歯の価値は1680万円+消費税だというお話を書きましたが、このような視点で見ると、自分の子供や孫の歯を虫歯にしないという事はどうなるでしょう?誰も自分の子供が憎くて飴やチョコレートを与える訳ではありませんが、歯が溶けてしまうほど与え続けるということはかなり残酷な事をしている可能性があります。
おじいちゃんやおばあちゃん、あるいは両親が死んでしまった後もその子の人生は続きます。歯を修理するために、場合によっては自分の貯金を崩さなければならないかもしれません。
子供を虫歯から守ってあげる事は、その子に、極端な話、1680万円+消費税の貯金をしてあげているのと同じです。
歯を大切にせずに悪くしてしまって大変後悔されているお母さんにこのお話をしたところ、「お金で何とかなるならまだいいけど、お金では、もうどうしようもない事ですよね。」とおっしゃいました。その通り。インプラントは所詮インプラント。自分の歯とは比べ物になりません。人工臓器なのですから。
このお話から、虫歯になった事のない無垢の歯をプレゼントしてあげる事がどれだけ価値があるか分かって頂きたいのです。
今は虫歯を完全に予防する事は、真剣に取り組むなら難しい事ではありません。
それが新しい学問“予防歯科”なのです。
歯の価値はおいくら?
まず、歯の価値は値段がつけられないほど高いという事を知らなければなりません。
次に、歯医者に行って治療を受けても歯は元に戻せる訳ではなく、虫歯菌が溶かしてしまった部分を金属やプラスチックで修繕して延命しているだけだという事を認識しなくてはなりません。
日本人は、小中学校の間は無料で歯の治療が受けられたり、小さな虫歯なら保険でとりあえず何千円かで治療ができてしまうので、今後もずっと同じような値段で歯が“なおる”と勘違いしてしまうのです。それで本気で予防して絶対に虫歯や歯周病にしない、歯を大切にしようという気が起こらなくなってしまうように見えます。“なんだ、虫歯になっても歯医者に行ったら保険で歯がなおる。簡単ジャン”と思いこむのですね。これが日本人の不幸の始まりと言っても良いかも知れません。
どんどん歯がダメになっていって、1本、2本と歯を抜くようになっても、まだ保険のブリッジで、“とりあえず”安くで歯が入るので、この段階でもまだ歯の価値に気がつく日本人は少ないです。
悲劇はこの後に始まります。たくさんの歯を失っていよいよ部分入れ歯になった時に、愕然となります。金具が見えて格好が悪い上に、喋りにくい、食べにくい。同窓会や外食に誘われても断る事が多くなってしまします。急激に生活が変わってしまう患者さんを山ほど知っています。保険が効くせいで歯の大切さを忘れてしまう日本人は本当に気の毒だなと思う事がよくあります。
昔のように60才過ぎたらリタイヤして、お口には入れ歯が入っているのが当然な時代ならいざ知らす、今は70才を過ぎても元気で社会生活を送る事が期待されていますので、例えばインプラントで失った歯を補うような事を考えるようになります。でも、そういった状況ですから、残っている歯も神経を取って銀歯になっており、その歯の寿命も近付いている事が多々あります。歯の全滅が近いという事です。
英保歯科ではインプラントは1本35万円+消費税(から)という設定ですが、大阪の一等地のあるインプラントセンターでは1本60万円+消費税がかかるそうです。
人間の歯の本数は通常28本ですから、極端な例えですが、28本全部をこのインプラントセンターでインプラントに置き換えると1680万円(!)+消費税が必要になります。夫婦で治療するとなると、家を売却しても足らない位ですね。
逆に言うと、歯を大切にすることはものすごい額の貯金をしているのと同じ事になります。
予防の治療をしてくれるのは歯科医師ではなく歯科衛生士さんです。私は“歯科衛生士の治療を定期的に受ける事は歯科医師である私の治療を受けるより1000倍大切です。”といつも患者さんに言っています。だって、予防さえすれば、1680万円がタダになるのですから。世界一周旅行をしてポルシェを買ってもまだお釣りがきますよ。

インプラントの一例。(最近はインプラントの性能が向上しましたので、もう少し本数を減らしてブリッジのようにします。)治療に結構なお金と時間がかかりますよね。手術も受けないといけませんよ。
この上に人工のセラミックでできた歯を取り付けると、リタイヤした野球選手や昔、八重歯だったアイドル歌手のように信じられないほど綺麗で真っ白な歯並びになります。でもしょせん人工臓器です。自分の歯のような「歯ごたえ」はいくらお金を積んでも、もう戻ってきません。



