今日、英保歯科のロゴマークをデザインして下さった事が縁で知り合った、デザイナーの濱 章浩さんに会ってきました。
お互い、既成概念にとらわれたり、既存の価値観の下で小さくなっている事の無意味さを語り合ううちに、あっというまに一時間が過ぎてしまいました。
アクティブに活動されておられる関係で前向きな人が集まってくるようです。私の大好きなTEDの神戸セクションのデザイナーを担当されていると知ってビックリ!
家族と過ごす事が大好きであまり出かけない私ですが、彼に会うために三宮に出かけたいと、心から思っています。
お互いに Positive で Active であるからこそ共感できる部分が多いのだと思います。
人間ってすばらしいですね。
月別アーカイブ: 2015年8月
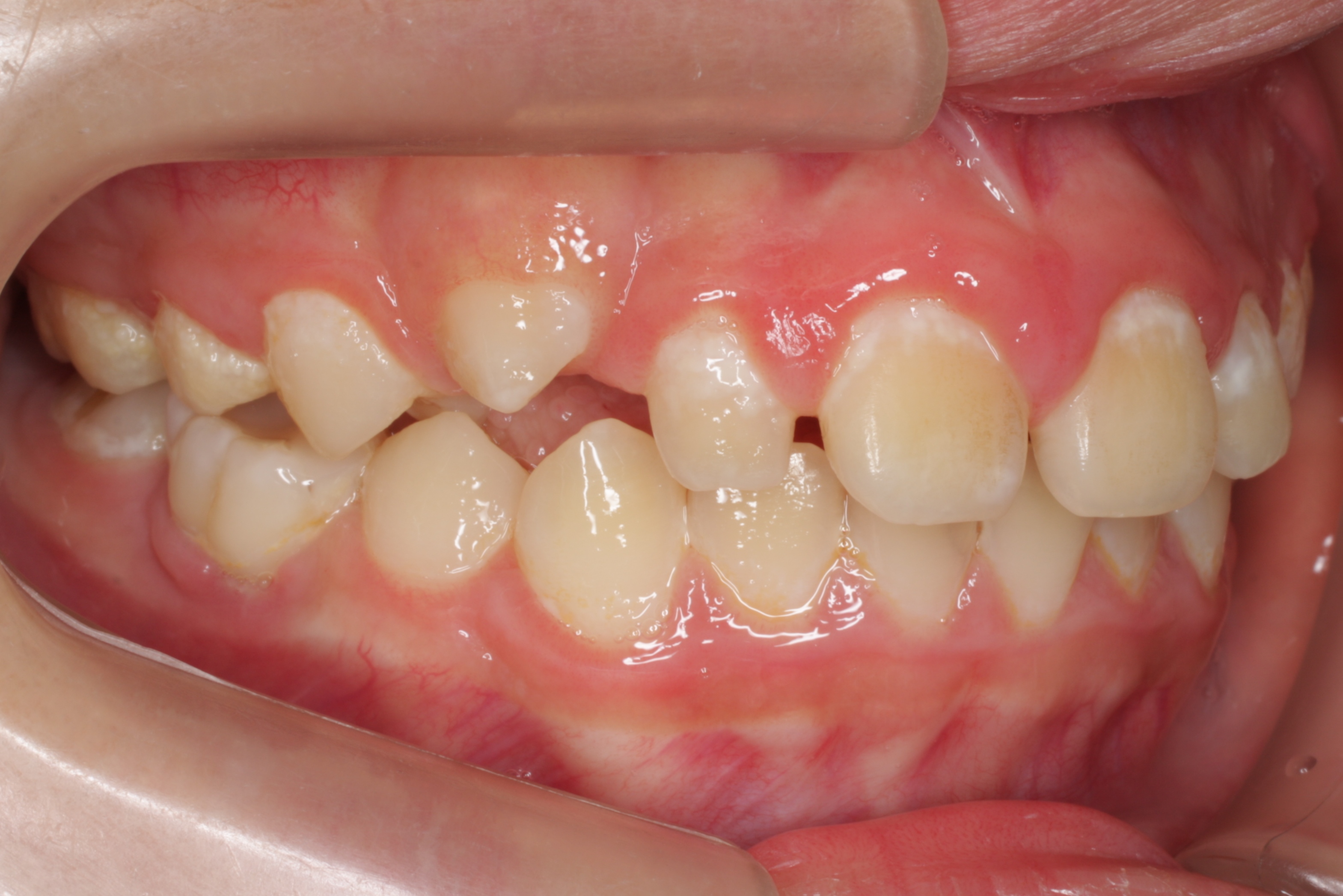
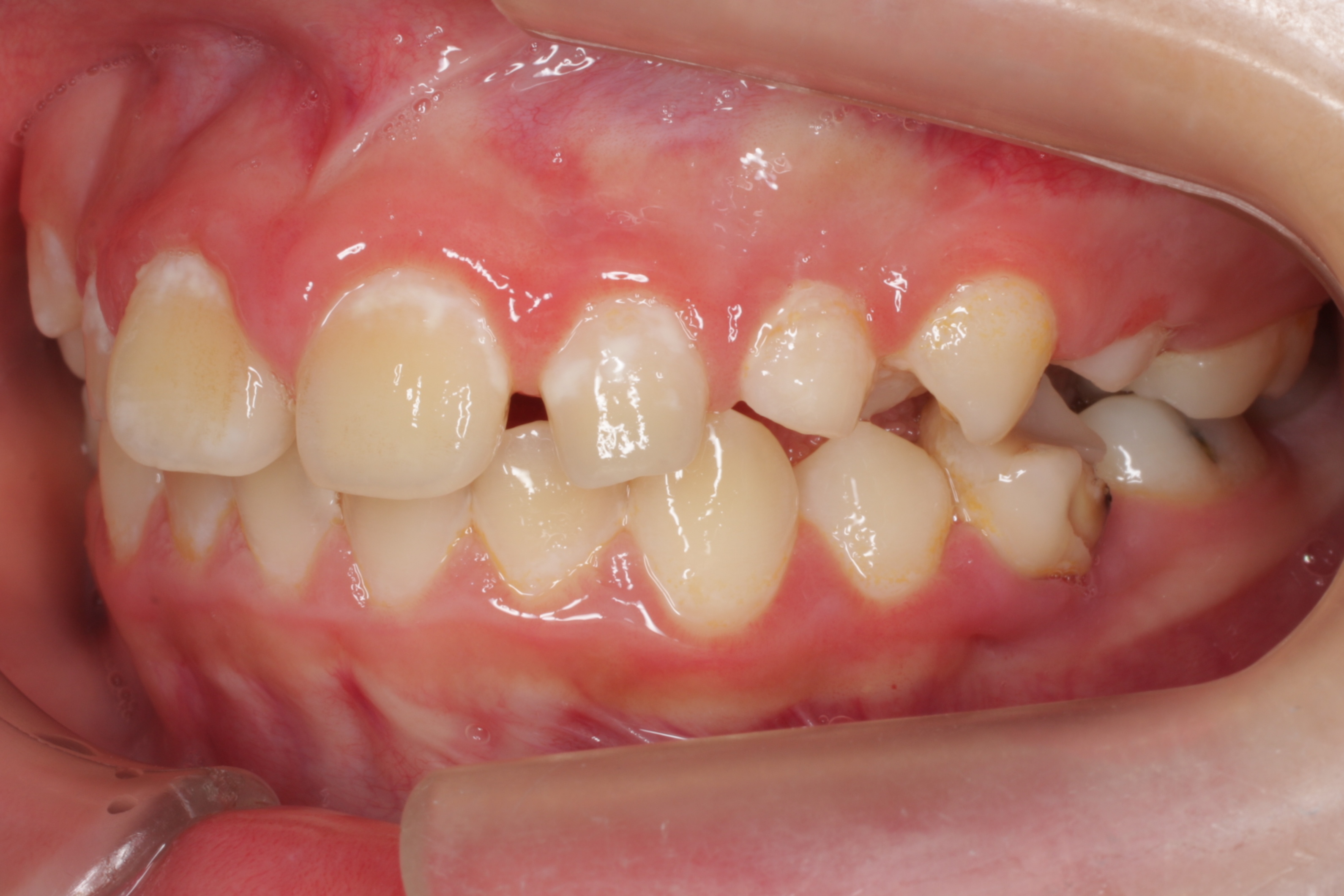
100回注射、300回通院
学校健診で虫歯と言われ、来院してくれた子供さんです。とても良い子で、お家の方も感じの良い方です。ただ、気がつくチャンスが無かっただけなのです。歯の大切さと予防歯科の重要性に。
歯科医や学校がもっと予防歯科の普及に頑張らないといけないなと深く反省させられる瞬間です。ごめんなさい。ごめんなさい。
一般的には「何本か虫歯があるので、歯医者に行ってなおしてもらおう」といった感覚なのでしょう。悲しいかな日本ではそれがフツーです。
問題はこの子の家庭に予防歯科の概念と知識が欠如している事なのです。何回も言っているように歯医者に行っても歯は元通りにはなりませんし、修繕が追いつかない程の速度で虫歯ができています。
この子は、これから一生の間に少なくとも100回は歯ぐきに注射をされて、少なくとも300回は通院し、歯を削られたり、神経を抜かれたり、銀歯を入れられたり、そしていつかは歯を抜かれたりするようになります。歯科医師の私にはこの悲しい将来が見えてしまいます。
一日も早く、一人でも多くの方が予防歯科の重要性に気がついて欲しいと思います。そのために私達歯科医療従事者も頑張ります!
現実を直視しないとね
終戦70周年の今年は、例年よりたくさんの戦争経験者の談話が新聞(やテレビ?我が家は長女が生まれた時にテレビを粗大ごみに出して以来テレビを見ないので知らないのですが・・・)に掲載されています。
皆さんの共通した意見は、米国の強大な国力を冷静に直視していれば米国との戦争に勝てるわけがないとすぐわかるのに、日本人の特性として、現実を冷静に直視せず、自分に都合の良い様に物事が運ぶ(はずだ)と思いたがる所があるという事でした。
面白い、興味深い意見だと拝見したのですが、歯に関しても全く同様の事が言えます。自分の歯の状況について、できれば聞きたくないし、知らないふりをしておきたいと言われる方が時々おられます。
そして、歯科医や衛生士が痛い目にあわせたから定期検診に来たくなくなった。と、言われる方もおられます。
歯の健康管理は他の体のパーツ同様、自分で責任を持って能動的に行う事だと思います。
今のお口の中の状況を早急には把握して、現実を直視してあげることが、(戦争同様に)手遅れで悲惨な状況になってしまう事を回避できる唯一の方法です。
朝の歯磨きは朝起きてすぐか、それとも朝食後か?
食後すぐに歯磨きをしない方が良いという考え方に賛成なら、現実的には朝起きてすぐという昔のスタイルに戻るべきでしょう。
朝食後はすぐにでも家を飛び出して会社や学校に行かなくてはなりません。誰も毎食後30分も待って歯磨きをするほどヒマじゃありません。
朝起きてすぐは、寝ている間にお口の中で増えてしまった雑菌を取り除く絶好のタイミングです。
成人の方で、で食事の後食べかすが詰まっている事が多い方は、直後でもよいのでフロスとぶくぶくうがいだけしっかりやってお出かけ下さい。
休みの日は30分後にしっかりブラッシングして下さい。その日は朝起きてすぐの歯磨きは不要です。ね。
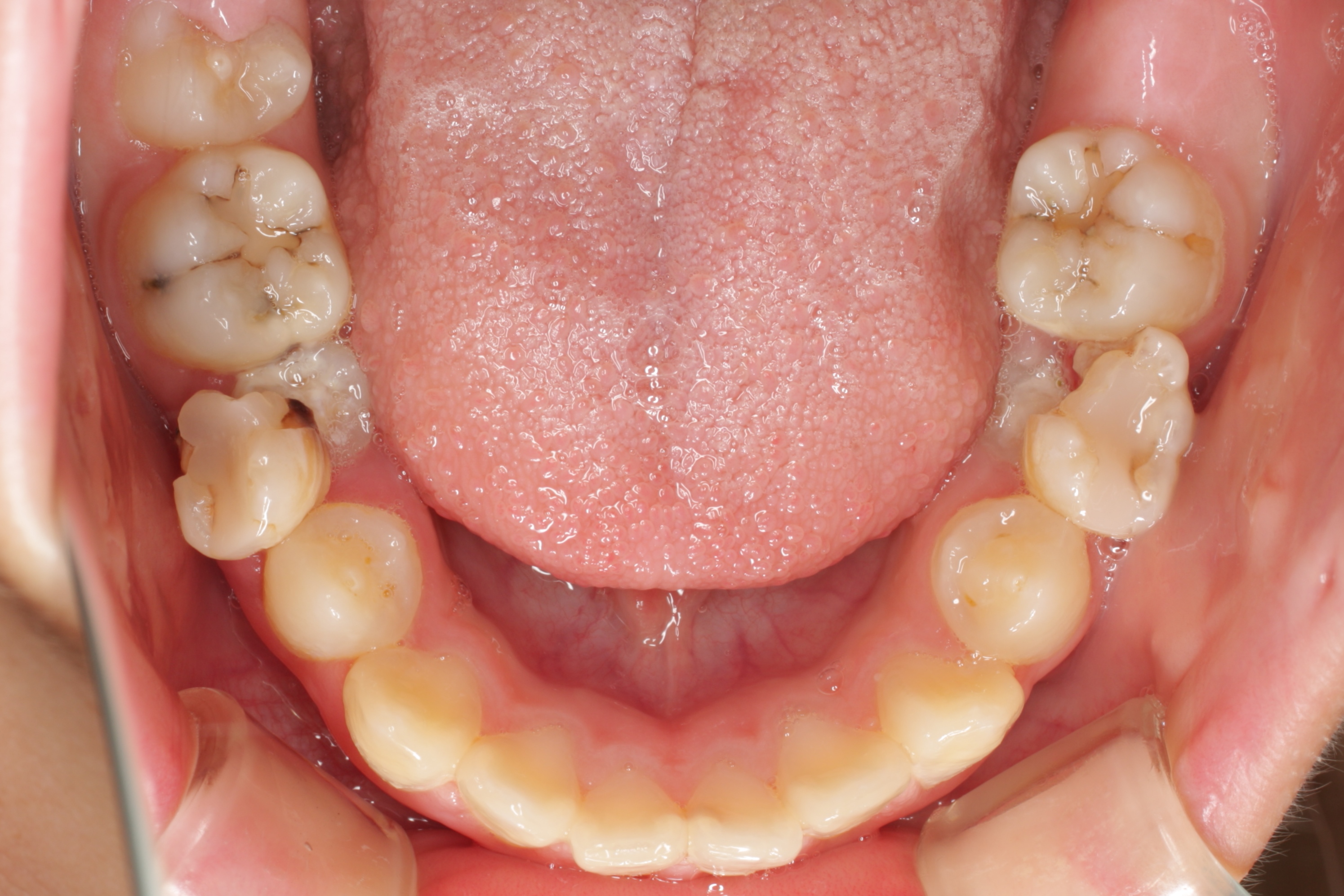
防湿が最重要
下顎の奥歯の治療で、ラバーダムやZOOなどの防湿装置を使用しないという事は、唾液の中の細菌が治療中の歯に「かかり放題」になっているのに治療を続けている事になります。細菌が残ったままで詰めてしまったり、神経の治療をする事はとても恐ろしい事です。
名医を自称する歯科医は多いですが、「100%防湿をします」と宣言している歯科医は少ないはずです。このハードルは低くないからです。
一から十まで、何から何まで自由診療のセラミックやインプラントを勧めてくるわりに防湿をほとんどしない歯医者がいるとしたら、、どうなんでしょうね。
本当に患者さんの事を思うなら、まず歯の大切さと予防歯科の重要性を強調し、保険で何とかできるところは保険でもきっちり治療をしてあげて、ちゃんとしなければいけないところは、言いにくいけれども自由診療のご提案をすべきだと思います。
それこそが良い歯科医だと、近頃、心から思い始めました。
保険の治療と自費の治療の分かれ目
たとえ保険の治療であっても、下顎の奥歯の治療の時にでラバーダムやZOOなどの防湿装置を使用しない歯科医院はその時点で見切りをつけた方が良いと、はっきり言えます。
「先生やスタッフが優しい」「いつでも診てくれて親切」など、いろいろな長所があったとしても、防湿をせずに治療をする点で、「本心で患者の利益、歯を本気で守る事を考えていない」と断言して良いでしょう。
学校健診などで「C1」と表現される初期の虫歯、しかも、噛み合せの面に限定した、本当に小さな虫歯の場合には、きちっと防湿をしてていねいに治療をすれば保険でも充分な治療ができます。
それ以上のサイズの虫歯になってくると、保険の治療と自由診療の治療では長い目で見た時に差が出てきてしまいます。チョイチョイで済む保険の治療でとりあえずお茶を濁した場合には、将来必ず、リカバリーのために想像以上の時間と苦痛と出費を強いられる事になります。
要は、100%防湿をするドクターが状況に応じて「これは保険でも充分しっかりと治療ができます。(あるいは黙って保険で治療をしてくれた)」とか「この歯の治療には自由診療の方がメリットが多く、結局はお得になります。そして、かけがえの無いこの歯を長く使う事ができるようになります。」といった説明をしてくれる時に、耳を傾けてみる事が大切です。
舌苔は絶対に除去を
しょーもないダジャレでごめんなさい。さて、気をとりなおして・・・。
舌の表面に白っぽく、あるいは黄色っぽくへばり付く苔を舌苔と呼びます。舌苔は口臭の大きな原因の一つです。歯周病が無いのに朝起きた時などに口臭がある方(子供でも時々見受けられます)は胃腸の問題や、この舌苔の付着を疑った方が良いでしょう。
舌苔を取るための器具が販売されていますが、どうでしょう。お家の洗面所にお父さんがベロをすりすりした器具が立っていると、歯ブラシよりも嫌がられる可能性も・・・。
一番効果的で嫌われない方法を教えますので、秘密で実行してみて下さい。食後30分のブラッシングをきっちりやった後、お休みになるまでにお風呂に入りますよね。その時にシャワーでお口の中をきれいに洗いながら、指の表面を使ってベロの背をきれいにこすって下さい。ついでに歯肉のマッサージを忘れないで。
それから就寝前のブラッシング時はフッ化物の歯磨剤を忘れずに。
これで虫歯、歯周病、口臭ともおさらばですよ!
ヤクルトは体に良い?
ヤクルトに入っている乳酸菌が体に良い事は認めます。でもビオフェルミンなどの昔からある安全な接種方法もありますし、最近ではたくさんの優秀な乳酸菌のサプリメントが開発され新聞などで広告されています。
問題はヤクルトにの味付けに使われている高濃度の砂糖が子供の歯を破壊する事にあります。魅惑の砂糖の味を覚えてしまうのにこのような簡単な方法はありません。破壊されるのは歯だけでは無い事はこれまでに何度も話してきました。
予防を重視する歯科医師、そして砂糖が子供たちの体に与える悪影響を危惧する一人の大人の立場として、「ヤクルトは、どうか勘弁してやって下さい。」と言いたいところです。
甘味料成分がキシリトール100%のヤクルトが(現在の商品と同じ値段で)発売されることを期待します。
アクエリアスやポカリスエットなどのスポーツドリンクにも全く同様の事が言えます。これについては又の機会に話します。
子供の虫歯予防の鍵は?
フッ化物の応用以前にまず正しい食生活習慣が鍵である事を理解して下さい。
生れてから中学校卒業まで白砂糖は可能な限り避けてあげる事。その他の虫歯の原因になる可能性のある甘い物(てんさい糖、三温糖、果物、ジュースを含む)も食事の時以外、決められたおやつの時間に限り1日1回に留めて、虫歯の原因となる糖質の摂取を一日計4回までとする。
そのような生活習慣を続ければ、甘味に対する嗜好の定着、刷り込みを回避できるので、一生砂糖中毒に陥る可能性が少ないでしょう。そうなればしめたもので、虫歯、肥満、Ⅱ型糖尿病、白砂糖が原因の精神的な問題などから縁遠い人生が送れる可能性が高まります。
実際に我が家は4人の子供をこのようにして育てています。4人ともクラスで背の高い方から数えた方が早いほどすくすく育ってくれましたので、少なくとも我が家の経験からは、この生活習慣が栄養学的に問題があるよとは考えられません。
高校生の娘は白砂糖のコンビニケーキ1個で充分満足する(むしろ苦戦する)ような味覚になってくれました。この教えはきっと彼、彼女達の子育ての時にも反映され、プラスの連鎖が続くと期待しています。
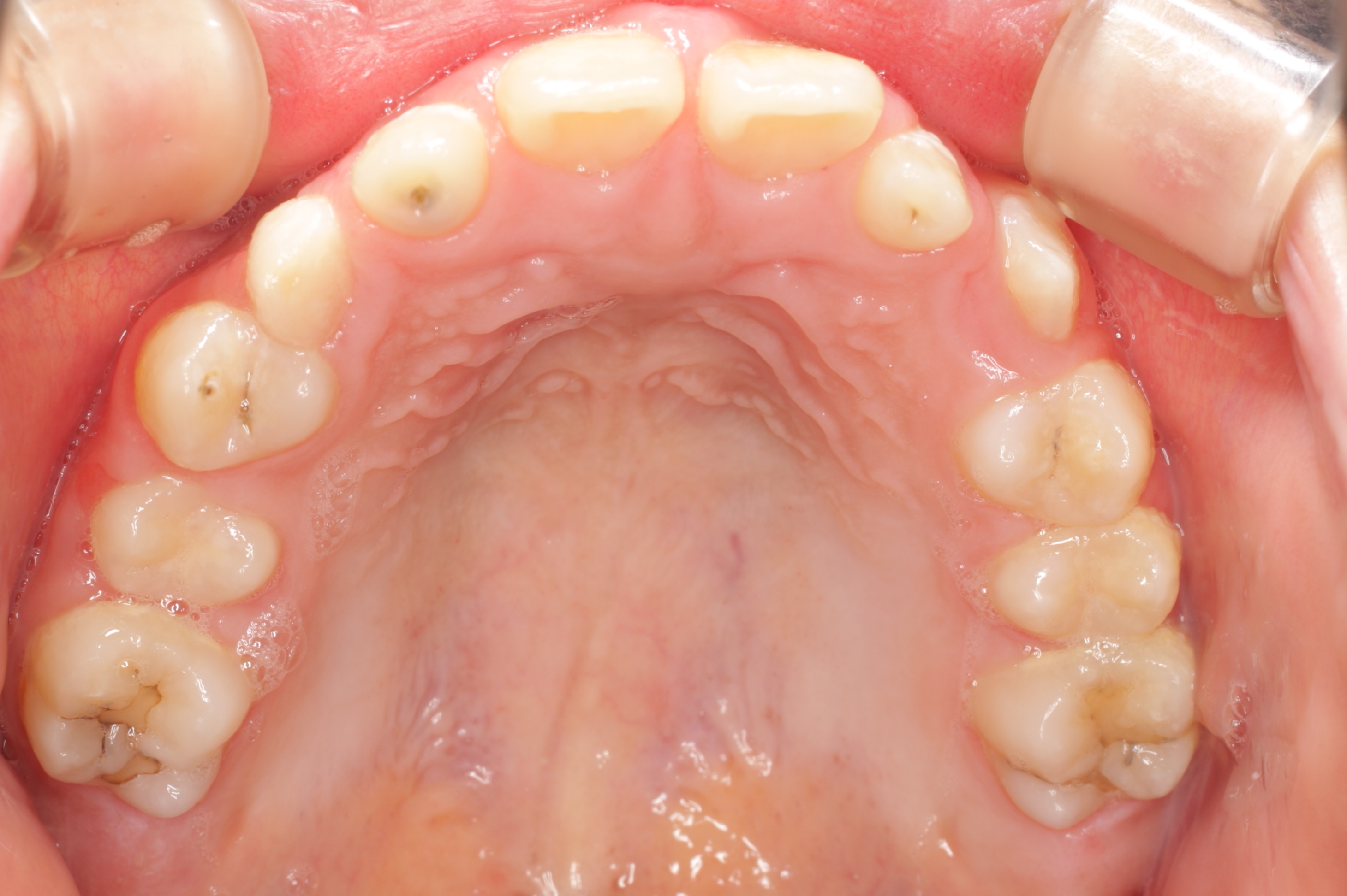
高齢者の根面う蝕について

ショッキングな写真ですが、80歳くらいの女性が「おせんべいを食べたら突然前歯が折れた」といってお見えになりました。一見何ともないような、普通の歯が3本突然根元の所からポキッと折れたようになっています。歯の頭の部分と根っこの部分のつなぎ目を「頚(くび)」と呼びます。その頸の部分で歯が突然折れたものですから、ビックリなさって来院された訳です。
歯の頭の部分はエナメル質という硬い構造でできており、フッ化物配合の歯磨き粉を使うとそこは更に硬くなって虫歯になりにくい状態になります。油断して甘い物をダラダラ食べていると、年齢と共に唾液量が減ってきますので高齢になってきた時に歯の構造が弱い所が簡単に虫歯になってしまいます。それがこのネックの部分なのです。ここはエナメル質でカバーされていないのでフッ化物の効果もあまり期待できません。
年齢が上がってブラッシングのスキルが低下してくる頃に、この根面う蝕が増加してしまうという、何とも悲しい現実が起こってきます。
これは介護の分野でも非常に悩ましい問題の一つです。




