私がお客様の歯を治療する時、ほとんどの場合はスタッフについてもらわずに一人で行っています。理由は2つあって、1つは「受付は英保歯科の中でも最も重要な仕事。スタッフのストレスを少しでも減らして受付業務に専念して欲しい」と思うため。2つ目は「一人きりで集中して治療がしたい」と思うためです。
しかしながら、そんな私でもインプラントの手術だけは一人では不可能です。先日の英保歯科でのインプラント手術には、院外のフリーランスの歯科衛生士の先生に「外科助手」として参加して頂きました。この歯科衛生士のK先生は外科の助手の訓練をキチッと受けておられるので、今回のように飛び入りで参加して頂いても完璧に手術が行えます。プロの仕事っていう感じでしょ?
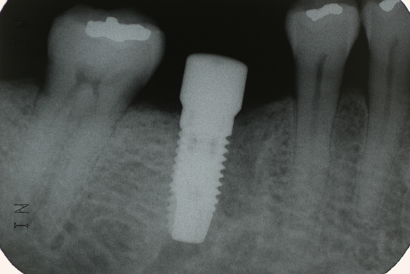
プロの仕事といえば、英保歯科ではCTによる治療計画やシュミレーションに基づき3Dプリンタを用いて作成されるガイドシステムをベースに、そこに私の臨床経験から出来たスパイスとソースをサッサと降り掛けた「最新といぶし銀が共存する英保歯科らしい」オペを行っています。その一部を写真で紹介しますね。
他院で抜いてもらった左下の奥歯の所(黄矢印)。痩せてしまって骨幅が少ない(黄点線)ので、インプラントは簡単ではありません。 インプラントが入る場所を3次元的にガイドするマウスピース(緑色)を装着し、Ti Ultra インプラント(青い点線から先の部分)をガイドスリーブ(黄色)に正確に入れて行きます。 CCという最新の接合様式(青)を持った陽極酸化処理で金色に輝くTi Ultra インプラント(黄色)が寸分違わず計画した3次元的位置に収まりました。この後自家骨とサイトランスグラニュールという人工骨を露出したインプラント周囲(黄色)に移植し、サイトランスエラシールドという吸収性膜で被覆して手術を完了しました。 いかがでした? 今回のブログで、読者の皆様のインプラントに対する理解が少しでも深まれば幸いです。
英保歯科では開業以来ずっとノーベルバイオケア社のインプラントを使用しています。20年前はブローネマルクシステムでしたが、数年前にはコニカルコネクションというインプラントに移行しました。
そのインプラントの表面性状に革命が起きました。Ti Unite から Ti Ultra へ変わったのです。生物学的に著しい改良が施されたため、英保歯科に準備されているインプラント全てを、その Ti Ultra へ変更すると同時に 3D シュミレーションソフトの DTX Implant とノーベルガイドというガイドシステムをフル活用して、最新鋭のインプラント治療を「楽しみ」たいと思っています。
DTX はNVDIAが入ったパソコンで動きます。3Dだからね。 私達歯科医師は、日々の診療が人生そのものです。ですからブランドの服を着たり高級車に乗ったりしなくても、最高・最新の医療に携わっていられるだけで、いや、その時が一番幸せなのです。
今日は83歳の男性のインプラントの手術をしました。「下の入れ歯が不安定なのでインプラントをして欲しい」とのご要望があったからです。 日本人男性の寿命を考えた時に、83歳という年齢の方に対する治療計画は「手術が早く済んで腫れや痛みが少なく、早目にインプラントが使えるようになる」そして「治療費が比較的安価で、高齢の方でも手入れがしやすい」といった点を重要視します。
CTによる精査を加味して、今回は インプラント オーバー デンチャー という方法を採用する事にしました。
インプラントと入れ歯をつなぐ装置は、入れ歯がカチッと留まってくれて、なおかつ、高齢者でも外しやすいという相反する条件を満たしていなければなりません。
英保歯科ではロケーターアタッチメントという装置を採用していますが、これはノーベルバイオケア社のインプラントにも接続する事ができる汎用性と互換性を持った優秀な装置です。
今回は ZIMMER 社のインプラントを使いました。非常に細く短いインプラントをピンポイントで埋入します。術者の経験が結果を左右するデリケートな手術です。 今日のオペは実質30分程で終了しました。ただ、医科の内視鏡手術と同様に、通常のオペの経験を充分に積んだ歯科医師でなければ難しい部分が多いなと感じました。
今週末は臨床関連の勉強会、しかもリアルサイトでの参加で埋まっており、武庫之荘と堂島に行ってきます。
今日の土曜日も例に漏れず超多忙でした。診療終了後自宅に帰ってみると、偶然家族がパンやクッキーを焼いていたのでそれをパクリ。1時間ほど休憩したら武庫之荘まで我が愛車 S660 でドライブです。月一回のインプラント関係の勉強会に参加するためです。
最近の研究で、インプラント周囲の骨だけでなく軟組織の厚みの重要性が明らかになっています。Nobel Biocare 社の最新のインプラントは、我々臨床家の期待に応えてくれそうです。 喧々諤々、ホットな症例検討の後、Nobel Biocare の学術関連のスタッフから最新のインプラント表面性状 Xeal と Ti Ultra についての詳しい解説がありました。英保歯科にも週明けにこの Ti Ultra インプラントが届きます。黄金色に輝くインプラントと対面するのが今から楽しみです。
明日は朝から大阪に行ってきますね。
妻曰く、神戸在住の友人が「神戸の良いインプラントの歯医者を紹介して欲しい」とのこと。 「良い歯医者って言われてもなあ・・・。」と、私。
何軒か心当たりがありますが、それぞれの病院の哲学、考え方、雰囲気、価格等が異なるので、その方に合うかどうか判断のしようがありません。妻の大切な友人なので、無責任に紹介もできませんから、私から直接お電話してみました。
私:「一度だけ三田まで来て頂いて、レントゲンとお口の中の写真と簡単な検査をさせて頂いて、お話をお伺いすれば「良い(つまり、あなたに合う)歯医者が紹介できるかも知れませんが、かかりつけの歯医者さんは無いのですか?」 妻の友人:「3か月に一度クリーニングをしてもらっているかかりつけの歯医者があって、そちらで歯を抜いてインプラントか入れ歯と勧められたのですが、その歯医者がイマイチ信頼できないので、インプラントだけどこか他でと思って奥様に聞いてみたんです。」 私:「〇✖△!(信頼できないかかりつけ医?・・・。) そもそも、すべての歯科治療は予防・治療・メインテナンスの一連の流れの中で行われるもので、インプラントも入れておしまいではなく、入れてからが始まりなんですよ。それに他の医院で入れたインプラントに不具合があっても、他の歯科医院を選んだあなたと治療をした先生の二人の責任であって、そのかかりつけ医にはメインテナンスの義務も、何の責任もないのですよ。かかりつけ医がインプラントをやっているなら、そこでインプラントをやってもらって、患者は清掃と定期的な通院の義務を、医師はあらゆる責任を果たしながら、きちっとメインテナンスをして長持ちさせないといけません。 そもそも、かかりつけ医が信頼できないなら、信頼できるかかりつけ医を探すべきでしょう。」 妻の友人「???。でも、解ってきました。」
かかりつけ医は、一切の邪念なしに、心からあなたの事を考えてくれる「親」のような存在。 かかりつけ医として信頼してくれるお客様は「ファミリー(家族)」のような存在。
家族の事を心から心配し、守る事を考えてあげられない親は、親として失格ですし、もしあなたが親を信頼できないなら、家を出て行った方が幸せでしょう。
大規模な経営・派手な体裁や暮らしを好む歯科医師(医師も)は、心に「お金」という邪念が入る危険性がありますので、相当に自分を律して高い理念を持てる人間でないと「本物のかかりつけ医」になれないのでは?と思います。
私はインドの僧侶のような高尚な人間ではありませんので、「コンパクトな経営」と「質素な暮らし」を良しとして、セルフコントロールしなくても邪念が起こらないようにしています。 物と欲を断捨離する事によって、邪念が自然に消滅し、「本物のかかりつけ医」になれるなら、いいでしょう?
次回来院時にそういった視点で英保歯科を観察してみて下さい。無駄な物も、無駄な事も、無駄な時間も、無駄な人も、一切無いことに気が付いて頂けると思います。その一方で(というか、その結果 )、ファミリー(あなた)に対する純粋な 愛に満ちていると、肌で 感じて頂ければ幸いです。
歯周病と虫歯が原因でたくさんの歯を失ってしまったご婦人が来院されました。インプラントを入れて欲しいとのご希望です。 お口の中の写真やレントゲン写真で過去の歯に対する考え方の誤りや、歯周病菌がお口の中にたくさんいる(歯周病がある)ままでは、インプラントの回りに歯周病菌が移って長持ちしないことを説明しました。 もちろん、所詮人工臓器ですから、自分の歯以上にしっかりブラッシングしないと長持ちしない事も説明しました。 そのご婦人は「インプラントって、手入れが必要なんですか?」と驚かれていました。 インプラントは素晴らしい治療法で、人生を変えてくれるほど、生活の「質」が上がります。でもそれを手に入れて維持するためには、患者さんのお金と時間と勇気だけでなく「健康に対する高い意識とそれを維持する努力」が必要なのです。 巷ではインプラントをめぐるトラブルが後を絶たないようですが、英保歯科では、「歯の重要性に気がついて、ちゃんとしたケアーを実践できる方」だけにインプラント治療を行うようにしています。
皆さんはインプラント治療にどのようなイメージををお持ちでしょうか。最先端の素晴らしい治療だという感じ?それとも悪い噂を耳にしたりされますでしょうか?インプラントは「正しく使えば」素晴らしい治療方法です。正しく使いさえすれば。
インプラントには様々な種類、長さ、形状があります。 骨の中に埋め込まれたチタン製の人工歯根(インプラント)にセラミックの歯を取り付けるのが一般的です。 人工歯根(インプラント)のヘッドには人工歯を取り付けるための工夫がされています。 人工歯根(インプラント)と骨が固着して完全に一体化するのでビクとも動かないようになります。 上の写真のような治療方法ですので、インプラントが健康で充分な量のある骨の中に埋入された時には長期的に安定して機能します。しっかりした幅や厚みのある杉やヒノキの板にねじ込んだネジ釘はしっかりしますが、ペラペラのバルサや合板に入れたネジ釘は無理な力をかけたらすぐに抜けちゃいそうですよね。 骨が無いときには骨造成という追加の手術が必要です。費用も追加で必要になります。危険性が高い時にはブリッジでインプラントを回避する方が良い事も多々あります。 その辺の診断がきっちりできるか否かがドクターの知識であり、治療計画の通りに事を運べるかどうかがドクターの技量です。 また、歯周病菌の感染がある(つまり歯周病がある)お口の中にインプラントをしても、インプラントの周囲に歯周病菌が感染してすぐにダメになってしまいます。 宝くじが当たってお金ができたから、インプラントをしてもらおう!と思っても、歯周病の治療と管理ができていない患者さんはインプラントが長持ちしません。お金を捨てるのと同様になってしまいもったいないですね。同様に、タバコを吸われる方もインプラントが長持ちしない事が多いです。最近、英保歯科では禁煙ができにくい患者さんのインプラントはお断りすることがほとんどです。
投稿ナビゲーション
兵庫県三田市の歯科医院 予防歯科を主軸に顕微鏡やルーペによる精密治療・MI接着修復・MIインプラント治療を提供 ラバーダムやZOOなどの防湿装置使用率100% i Mix(改良型3Mix法)を開発